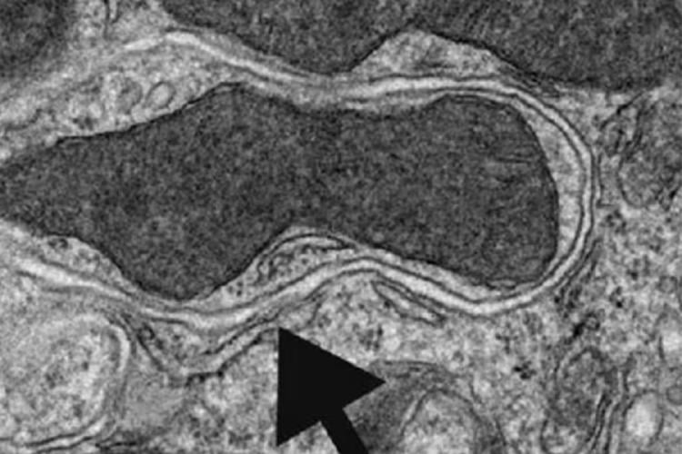
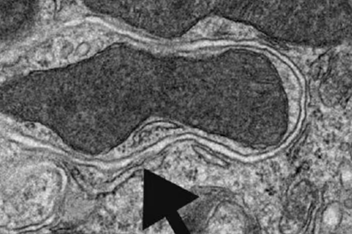
Autofagia es el proceso natural con el que el cuerpo se limpia y se repara desde adentro: una nueva investigación volvió a poner en foco a este mecanismo natural del organismo que permite a las células reciclar sus componentes dañados y mantener el equilibrio interno.
El mecanismo es clave para la salud celular y podría tener un rol fundamental en el envejecimiento saludable y la prevención de diversas enfermedades.
¿Qué es la autofagia y por qué es tan importante?
La autofagia es un sistema de “limpieza interna” que activa el propio cuerpo para eliminar residuos celulares, proteínas defectuosas y estructuras dañadas. En términos simples, las células se “comen” lo que ya no sirve para reutilizarlo como energía o materia prima, favoreciendo su correcto funcionamiento.
Este mecanismo es esencial para mantener la salud de los tejidos y prevenir el deterioro celular asociado al paso del tiempo.

Autofagia y envejecimiento saludable
Según los estudios más recientes, una autofagia eficiente estaría vinculada con un envejecimiento más lento y saludable, especialmente en personas mayores. Al mejorar la capacidad del organismo para repararse, se reduciría la acumulación de daños celulares que favorecen la aparición de enfermedades crónicas.
Los investigadores destacan que este proceso no solo ayuda a conservar la función celular, sino que también podría contribuir a una mejor respuesta del sistema inmunológico y a una mayor longevidad.
TE PUEDE INTERESAR: Bolsas de té y microplásticos: lo que liberan en el agua

¿Cuándo se activa la autofagia?
La autofagia no ocurre de forma constante, sino que se activa principalmente en momentos de estrés celular, como la falta de nutrientes. Por eso, hábitos como el ayuno intermitente, una alimentación equilibrada y el descanso adecuado suelen mencionarse como factores que pueden estimularla, siempre bajo supervisión profesional.
Global
