Científicos de la Universidad de Pensilvania, en Estados Unidos, han descubierto un nuevo tipo de célula escondida en las profundidades de los pulmones humanos, llamadas células secretoras de las vías respiratorias (RASCs, por sus siglas en inglés), según un nuevo estudio publicado en la revista Nature.
También te puede interesar: La OMS advierte que el 99% de la población mundial respira aire contaminado
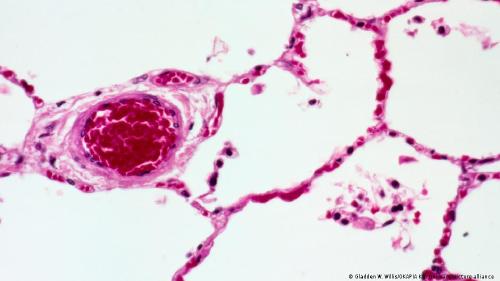
Las células se encuentran en unos conductos diminutos y ramificados conocidos como bronquiolos, que se conectan con los alvéolos que permiten el intercambio de oxígeno y dióxido de carbono entre el aire que respiramos con el torrente sanguíneo.
Según el nuevo estudio, las células descubiertas desempeñan un papel fundamental en el buen funcionamiento del sistema respiratorio y podrían incluso inspirar nuevos tratamientos para revertir los efectos de ciertas enfermedades como la enfermedad pulmonar obstructiva crónica (EPOC) relacionadas con el tabaquismo.
Las RASCs tienen propiedades similares a las de las células madre
Las células RASCs tienen dos funciones dentro de los pulmones. Por un lado, segregan moléculas para mantener el revestimiento de líquido de los bronquiolos y aumentar así la eficacia y la rigidez de los pulmones. Por otro, pueden servir como células progenitoras de las células alveolares de tipo 2 (AT2).
En concreto, cuando se dañan otras células de los alvéolos, estas células RASCs pueden diferenciarse en las células AT2 –similares a las células madre o células "lienzo en blanco" que pueden diferenciarse en cualquier otro tipo de célula del cuerpo– y ser capaces de secretar una sustancia química que se utiliza para reparar y regenerar otras células esenciales para el funcionamiento normal de los alvéolos.
Además puedes leer: El método de 3 pasos para cambiar un hábito, con foco en la perseverancia y en la fortaleza interna
"Las células RASCs son lo que hemos denominado progenitoras facultativas, lo que significa que actúan a la vez como células progenitoras y también tienen importantes papeles funcionales en el mantenimiento de la salud de las vías respiratorias", dijo Edward Morrisey, coautor del estudio, a Live Science.
"La EPOC es una enfermedad devastadora y común, pero realmente no entendemos la biología celular de por qué o cómo la desarrollan algunos pacientes. La identificación de nuevos tipos de células, en particular de nuevas células progenitoras, que se lesionan en la EPOC podría acelerar realmente el desarrollo de nuevos tratamientos", afirmó, por su parte, Maria Basil, la primera autora del estudio, en un comunicado de prensa de la Universidad de Pensilvania.
Según la Organización Mundial de la Salud, cada año mueren en el mundo más de 3 millones de personas a causa de la EPOC.
Fuente: DW
Global
